What causes your breast to become inflamed when you're lactating?
-fotor-20240115155339.jpg)
Inflammation is a vital and constant (but invisible) process when your breasts are making milk
We sometimes get the impression that all inflammation is bad. But you can read about why the human body needs inflammation here. Your mammary immune system is ancient, and protects both you and your baby during lactation.
Microscopic breast tissue inflammation, for example, is a vital and constant process when your breasts are making milk, which is healthy and good! This is why you might hear lactating breasts referred to as a 'pro-inflammatory' environment.
The microscopic inflammatory processes constantly at work in your lactating breast are your body's way of
1. Protecting you
-
Regularly sweeping clean a highly dynamic tissue environment, where cells are constantly breaking down or building up. There will always be substantial cellular and other debri to clean up because of the high cell turnover during lactation.
-
Removing any stray or rogue cells, which are more likely to take hold in a highly dynamic environment like the lactating breast, and cause disease down the track.
-
Regulating interactions between your breasts' immune system and the microbiome of your breast milk, and also the microbiome of your breast tissue. Bacteria are a natural and healthy part of your breast and your breast milk. The microbiomes of your breast tissue and milk are an important part of your milk's immune superpowers. But these bacterial populations are constantly changing and adapting in response to your immune system and the breast's inflammatory processes. You can find out about your milk's microbiome here.
2. Dialling down your milk supply when it's time
Not only are invisible inflammatory processes a natural and healthy part of your breast’s immune activity, your breasts' inflammatory processes either turn down milk secretion when necessary, or turn milk secretion off completely when you wean.
If your breast's protective inflammatory processes become overactive, this shows up as a lump or engorgement
'Itis' means ‘inflammation of’. Colitis, for example, is a word which describes inflammation of the colon. Arthritis is an inflammation of the joint which causes problems or which can be detected by medical imaging. ‘Mast’ is from the Greek word 'mastos', which means breast. So mastitis really means any inflammation of the breast.
The term ‘mastitis’ really includes engorgement and (what are often called) 'blocked ducts', as well as the red hot painful areas we more commonly think about when we say mastitis!
But confusingly, our health system usually reserves the word mastitis for just one kind of breast inflammation - a red, hot lump, which might also be accompanied by fevers, muscles aches, feeling awful, and sometimes even uncontrollable shaking.
Your breasts will often be lumpy when they are working to make milk. An inflammatory lump, however, doesn’t go away after breastfeeding. Very importantly, any lump in your breast which doesn't disappear after a week needs to be assessed by your doctor.
You can find out why this is so important here.
What causes inflammation in your lactating breast to become overactive?
The main thing that sets off a cascade of worsening inflammation which becomes visible and painful in your breast is the development of an area of very high backpressures of milk within your milk glands and ducts.
High backpressures are caused by either
-
External mechanical compression of the milk ducts. Pressure gradually rises then in the milk glands as the amount of milk increases but is unable to be released through the ducts out into the baby's mouth or by leakage. Externally applied mechanical compression of the milk ducts is caused by
-
Nipple and breast tissue drag during breastfeeding, or
-
Other externally applied mechanical pressure, such as a poorly fitted garment, breast shell, or sleeping with pressure on the breast.
-
-
Producing much more milk than your baby needs, or spacing out breastfeeds.
Both external mechanical compression of the milk ducts and the pressure effects of more milk than baby needs or spacing out feeds results in stretching or breakage of the junctions between the milk-making cells in a milk gland.
This triggers inflammation, which results in increased fluid and blood vessels in the stroma or connective tissue of the breast, which then further compresses or squashes the milk ducts and worsens the backpressure, in what we call an inflammatory cascade or cycle, which just gets worse and worse.
.jpg)
High backpressures can cause the kind of visible and tender or painful inflammation known as engorgement, when much of a breast or both breasts are affected.
Often, the inflammation is focussed in just one part of your breast, making the tissue swell to become a lump (commonly referred to as blocked ducts), perhaps with visible signs of redness and tenderness (commonly referred to as mastitis).

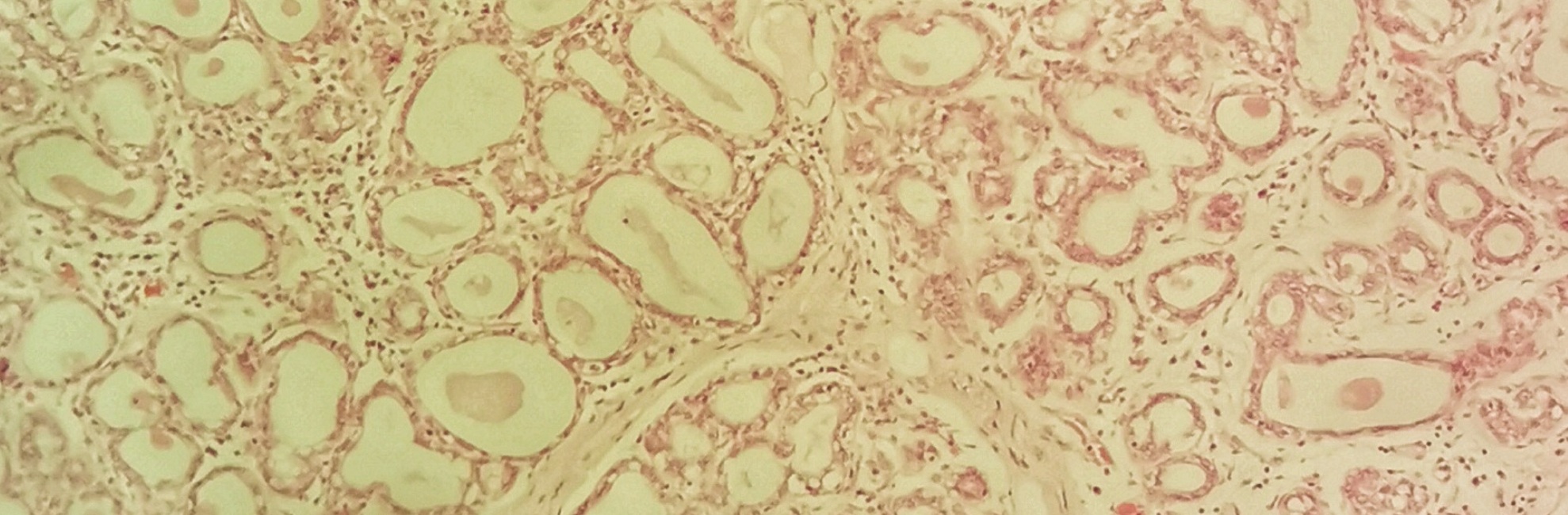
The photo above shows alveolar glands filled with milk, with the lactocytes stretched long and thinly rectangular under the basement membrane.
Recommended resources
Bad bugs and biofilm don't cause breast inflammation when you're lactating:
Selected references
Amir LH, Forster DA, Lumley J, McLachlan H. A descriptive study of mastitis in Australian breastfeeding women: incidence and determinants. BMC Public Health. 2007;7:62.
Boakes E, Woods A, Johnson N, Kadoglou N. Breast infections: a review of diagnosis and management practices. European Journal of Breast Health. 2018;14:136-143.
Kobayashi K, Han L, Lu S-N, Ninomiya K, Isobe N, Nishimura T. Effects of hydrostatic ompression on milk production-related signaling pathways in mouse mammary epithelial cells. Experimental Cell Research. 2023;432:113762.
Wilson E, Woodd SL, Benova L. Incidence of and risk factors for lactational mastitis: a systematic review. Journal of Human Lactation. 2020;36(4):673-686.
- Vaidya Y, patel S, Joshi C, Nauriyal D, Kunjadia A. Somatic cell count: a human breast wellbeing indicator. Journal of Breast Health. 2017;13:88-93.
- Witt AM, Bolman M, Kredit S, Vanic A. Therapeutic breast massage in lactation for the management of engorgement, plugged ducts, and mastitis. Journal of Human Lactation. 2016;32(1):123-131.
- Kvist LJ. Toward a clarfication of the concept of mastitis as used in empirical studies of breast inflammation during lactation. Journal of Human Lactation. 2010;26(1):doi:10.1177/0890334409349806.
- Crepinsek MA, Taylor EA, Michener K, Stewart F. Interventions for preventing mastitis after childbirth (Review). Cochrane Database of Systematic Reviews. 2020(9):Doi:10.1002/14651858.CD14007239.pub14651854.
- Wilson E, Woodd SL, Benova L. Incidence of and risk factors for lactational mastitis: a systematic review. Journal of Human Lactation. 2020;36(4):673-686.
- Boakes E, Woods A, Johnson N, Kadoglou N. Breast infections: a review of diagnosis and management practices. European Journal of Breast Health. 2018;14:136-143.
- Michie C, Lockie F, Lynn W. The challenge of mastitis. Archives of Disease in Childhood. 2003;88(9):818-821.
- Amir LH, Forster DA, Lumley J, McLachlan H. A descriptive study of mastitis in Australian breastfeeding women: incidence and determinants. BMC Public Health. 2007;7:62.
- Delgado S, Arroyo R, Martin R, Rodriguez JM. PCR-DGGE assessment of the bacterial diversity of breast milk in women with lactational infectious mastitis. BMC Infectious Diseases. 2008;8(Article 51):https://doi.org/10.1186/1471-2334-1188-1151.
- Jahanfar S, Ng CJ, Teng CL. Antibiotics for mastitis in breastfeeding women. Cochrane Database of Systematic Reviews. 2013;1:Doi:10.1002/14651858.CD14005458.pub14651853.
- Kvist L. Re-examination of old truths: replication of a study to measure the incidence of lactational mastitis in breastfeeding women. International Breastfeeding Journal. 2013;8(2).
- Mitchell K, Eglash A, Bamberger E. Mammary dysbiosis and nipple blebs treated with intravenous daptomycin and dalbavancin. Journal of Human Lactation. 2020;36(2):365-368.
- Cullinane M, Amir LH, Donath SM, Garland SM, Tabrizi SN, Payne MS, et al. Determinants of mastitis in women in the CASTLE study: a cohort study. BMC Family Practice. 2015;16:181.
- Kosmerl E, Rocha-Mendoza D, Ortega-Anaya J. Improving human health with milk fat globule membrane, lactic acid bacteria, and bifidobacteria. Microorganisms. 2021;9(341):doi:10.3390/microorganisms9020341.
- Kent JC, Gardner H, Lai C-T, Hartmann PE, Murray K, Rea A, et al. Hourly breast expression to estimate the rate of synthesis of milk and fat. Nutrients. 2018;10:1144.
- Dos Santos ALS, Gladino ACM, De Mello TP. What are the advantages of living in a community? A microbial biofilm perspective! Mem Inst Oswaldo Cruz 2018;113(9):e180212.
- Oikonomou G, Addis MF, Chassard C. Milk microbiota: what are we exactly talking about? Frontiers in Microbiology. 2020;11(60):doi:10.3389/fmicb.2020.00060.
- Sakwinska O, Bosco N. Host microbe interactions in the lactating mammary gland. Frontiers in Microbiology. 2019;10:doi:10.3389/fmicb.2019.01863.
- Fernandez L, Pannaraj PS, Rautava S, Rodriguez JM. The microbiota of the human mammary ecosystem. Frontiers in cellular and infection microbiology. 2020;10:Article 5866667.
- Ramsay DT, Kent JC, Owens RA, Hartmann PE. Ultrasound imaging of milk ejection in the breast of lactating women. Pediatics. 2004;113:361-367.
- Ramsay DT, Kent JC, Hartmann RA, Hartmann PE. Anatomy of the lactating human breast redefined with ultrasound imaging. Journal of Anatomy. 2005;206:525-534.
- Geddes DT. The use of ultrasound to identify milk ejection in women - tips and pitfalls. International Breastfeeding Journal. 2009;4(5):doi:10.1186/1746-4385-1184-1185.
- Douglas PS. Re-thinking benign inflammation of the lactating breast: a mechanobiological model. Women's Health. 2022;18:https://doi.org/10.1177/17455065221075907.
- Douglas PS. Re-thinking benign inflammation of the lactating breast: classification, prevention, and management. Women's Health. 2022;18:doi: 10.1177/17455057221091349.
- Stewart TA, Hughes K, Stevenson AJ, Marino N, Ju AL, Morehead M, et al. Mammary mechanobiology - investigating roles for mechanically activated ion channels in lactation and involution. Journal of Cell Science. 2021;134:doi:10.124/jcs.248849.
- Jindal S, Narasimhan J, Vorges VF, Schedin P. Characterization of weaning-induced breast involution in women: implications for young women's breast cancer. Breast Cancer. 2020;6(55):https://doi.org/10.1038/s41523-41020-00196-41523.
- Ingman WV, Glynn DJ, Hutchinson MR. Inflammatory mediators in mastitis and lactation insufficiency. Journal of Mammary Gland Biology and Neoplasia. 2014;19:161-167.
- Douglas PS, Geddes DB. Practice-based interpretation of ultrasound studies leads the way to less pharmaceutical and surgical intervention for breastfeeding babies and more effective clinical support. Midwifery. 2018;58:145–155.
- Douglas PS, Keogh R. Gestalt breastfeeding: helping mothers and infants optimise positional stability and intra-oral breast tissue volume for effective, pain-free milk transfer. Journal of Human Lactation. 2017;33(3):509–518.
- Douglas PS, Perrella SL, Geddes DT. A brief gestalt intervention changes ultrasound measures of tongue movement during breastfeeding: case series. BMC Pregnancy and Childbirth. 2022;22(94):https://doi.org/10.1186/s12884-12021-04363-12887.
- Zaragoza R, Garcia-Trevijano ER, Lluch A, Ribas G, Vina JR. Involvement of different networks in the mammary gland involution after the pregnancy/lactation cycle: implications in breast cancer. International Union of Biochemistry and Molecular Biology. 2015;67(4):227-238.
- Basree M, Shinde N, Koivisto C. Abrupt involution induces inflammation, estrogenic signaling, and hyperplasia linking lack of breastfeeding with increased risk of breast cancer. Breast Cancer Research. 2019;21(80):https://doi.org/10.1186/s31058-31019-31163-31057.
- Anderson L, Kynoch K, Kildea S, N L. Effectiveness of breast massage for the treatment of women with breastfeeding problems: a systematic review. JBI Database Systematic Reviews Implement Rep. 2019;17(8):1668-1694.
- Gardner H, Kent JC, Prime DK, Lai C-T, Hartmann PE, Geddes DT. Milk ejection patterns remain consistent during the first and second lactations. American Journal of Human Biology. 2017;29:e22960.
- Kvist LJ, Halll-Lord ML, Larsson BW. A descriptive study of Swedish women with symptoms of breast inflammation during lactation and their perceptions of the quality of care given at a breastfeeding clinic. International Breastfeeding Journal. 2007;2(2):doi:10.1186/1746-4358-1182-1182.
- Amir LH, The Academy of Breastfeeding Medicine Protocol Committee. ABM Clinical Protocol #4: Mastitis, Revised March 2014. Breastfeeding Medicine. 2014;9(5):239-243.
- Diepeveen LC, Fraser E, Croft AJ. Regional and facility differences in interventions for mastitis by Australian physiotherapists. Journal of Human Lactation. 2019;35(4):695-705.
- McLachlan Z, Milne EF, Lumley J, Walker BL. Ultrasound treatment for breast engorgement: a randomised double blind trial. Australian Journal of Physiotherapy. 1991;37(1):23-28.
- Lavigne V, Glebezon BJ. Ultrasound as a treatment of mammary blocked duct among 25 postpartum lactating women: a restrospective case series. Journal of Chiropractic Medicine. 2012;11(3):170-178.
- Barker M, Adelson P, Peters MDJ, Steen M. Probiotics and human lactational mastitis: a scoping review. Women and Birth. 2020;d33:e483-e491.
- Amir LH, Griffin L, Cullinane M, Garland SM. Probiotics and mastitis: evidence-based marketing? International Breastfeeding Journal. 2016;111(19):doi:10.1186/s13006-13016-10078-13005.
- Barger MK. Current resources for evidence-based practice January/February 2020. Journal of Midwifery and Women's Health. 2020:doi:10.1111/jmwh.13079.
